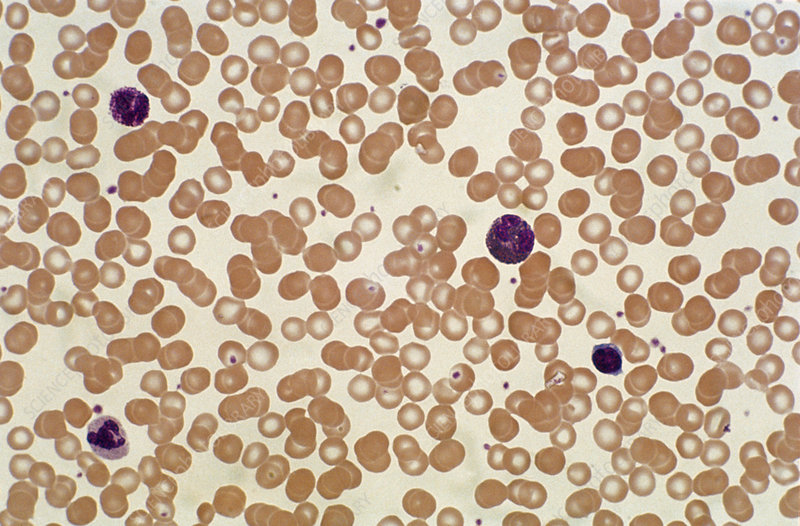
Peripheral Blood Smear: Red Blood Cell Morphology
Peripheral Blood Smear: Red Blood Cell Morphology – Interpretation & Clinical Use Synonyms Blood Smear Morphology, Peripheral Smear, RBC Smear, […]
Explore essential topics in hematology, including blood cell analysis, hematologic disorders, diagnostic tests, and laboratory procedures. This section provides detailed resources on complete blood count (CBC), anemia, leukemia, coagulation studies, and more—designed for medical lab students and professionals seeking clear, accurate, and practical knowledge in the field of blood science.
Peripheral Blood Smear: Red Blood Cell Morphology – Interpretation & Clinical Use Synonyms Blood Smear Morphology, Peripheral Smear, RBC Smear, […]
Platelet Count Test: Thrombocyte Disorders, Methodology & Clinical Use Platelet Count Test Synonyms Thrombocyte Count Specimen Whole blood Container Lavender
Reticulocyte Count: Anemia Assessment and Erythropoiesis Monitoring Synonyms Retic Count Specimen Whole blood Container Lavender top (EDTA) tube Green top
Schilling Test: Diagnosing Vitamin B12 Malabsorption & Pernicious Anemia Abstract The Schilling Test evaluates vitamin B12 absorption and is used
ESR (Erythrocyte Sedimentation Rate): Inflammation & Rheumatology Monitoring Synonyms Sedimentation Rate, Westergren Sed Rate, ESR Abstract This test is a
Sickle Cell Tests: Solubility Screening for Hemoglobin S and Sickle Cell Disease Synonyms Dithionite Test, Itano Solubility Test, Murayama Test,
APT Test Synonyms Apt Test for Swallowed Blood Syndrome, Fetal Hemoglobin Test in Newborn Abstract This test uses the alkali
Mielke Bleeding Time Test: Procedure, Indications, Reference Ranges & Interpretation What is the Mielke Bleeding Time Test? The Mielke Bleeding
Ivy Bleeding Time Test : Procedure, Uses, Contraindications & Interpretation What is the Ivy Bleeding Time Test? The Ivy Bleeding
Factor XIII (Fibrin Stabilizing Factor) Test: Uses, Methods, Deficiency & Results What is Factor XIII (Fibrin Stabilizing Factor)? Factor XIII,